Răng số 8 là sự xuất hiện của những chiếc răng cuối cùng trên cung hàm. Luôn đi kèm với nhiều nỗi lo lắng về cảm giác đau nhức và những biến chứng tiềm ẩn. Hiểu rõ về bản chất, vị trí cũng như cách xử lý đúng đắn đối với răng số 8. Sẽ giúp bạn bảo vệ sức khỏe răng miệng một cách chủ động và hiệu quả nhất.
Contents
- Răng số 8 là răng gì?
- Một số tình trạng mọc răng số 8 phổ biến
- Nên làm gì khi mọc răng số 8?
- Nhổ răng số 8 có nguy hiểm không
- Phương pháp nhổ răng khôn hiện nay
- Quy trình nhổ răng số 8 mọc lệch chuẩn y khoa
- Sau khi nhổ răng khôn cần lưu ý những gì?
- Sau nhổ răng khôn nên kiêng ăn gì để nhanh hồi phục?
- Nhổ răng số 8 giá bao nhiêu
- Cách chăm sóc răng miệng sau khi nhổ răng số 8
- Kết bài
Răng số 8 là răng gì?
Để hiểu rõ răng số 8 là răng gì, chúng ta cần nhìn vào sơ đồ phân bổ các răng trên cung hàm. Trong nha khoa, răng được chia thành các nhóm dựa trên chức năng như răng cửa, răng nanh, răng tiền hàm và răng hàm lớn. Răng số 8 chính là chiếc răng hàm lớn thứ ba, nằm ở vị trí sâu nhất phía trong cùng của mỗi phía hàm.
Nhiều người thường thắc mắc liệu răng số 8 có phải răng khôn không, thì câu trả lời chính là có. Tên gọi “răng khôn” bắt nguồn từ việc chúng thường chỉ bắt đầu mọc lên khi con người bước vào độ tuổi trưởng thành, khi trí tuệ đã phát triển hoàn thiện.
Vị trí răng số 8 là răng nào
Nếu bạn soi gương và đếm từ răng cửa chính giữa ra phía sau, chiếc răng nằm ở vị trí thứ tám chính là nó. Do nằm ở vị trí răng số 8 – nơi tiếp giáp với ngành lên xương hàm dưới và xoang hàm trên, không gian dành cho nó thường rất hạn hẹp.
Đây là lý do chính khiến loại răng này trở thành “nỗi ám ảnh” của nhiều người khi chúng không đủ diện tích để mọc lên một cách bình thường như các răng khác trên cung hàm.
Dấu hiệu mọc răng số 8
Quá trình mọc răng khôn thường không diễn ra âm thầm mà luôn có những tín hiệu báo trước rõ rệt. Dấu hiệu phổ biến nhất là tình trạng đau răng số 8 với cảm giác đau âm ỉ hoặc dữ dội tại vùng nướu trong cùng. Đi kèm với đó, nướu có thể bị sưng đỏ, thậm chí là mưng mủ nếu bị viêm nhiễm.
Nhiều khách hàng tại Chingo Dental còn chia sẻ rằng họ gặp khó khăn khi há miệng lớn, nhai nuốt đau, hoặc thậm chí là bị sốt nhẹ và nổi hạch ở vùng cổ khi răng đang cố gắng tách nướu để trồi lên.
Răng số 8 có mấy chân?
Cấu tạo của răng khôn thường phức tạp và biến thiên hơn rất nhiều so với các răng hàm khác. Thông thường, răng số 8 có mấy chân còn tùy thuộc vào việc nó nằm ở hàm trên hay hàm dưới. Răng hàm trên thường có 3 chân, trong khi răng hàm dưới thường có 2 chân.
Tuy nhiên, thực tế lâm sàng cho thấy răng số 8 có thể có nhiều chân hơn, hoặc các chân răng dính liền, cong vẹo, hình dùi trống. Chính đặc điểm chân răng dị dạng này là một trong những yếu tố khiến việc tiểu phẫu nhổ bỏ trở nên phức tạp hơn.
Răng số 8 có mấy cái?
Một người trưởng thành bình thường sẽ có tối đa 4 chiếc răng số 8, chia đều cho bốn góc của cung hàm (trên trái, trên phải, dưới trái, dưới phải). Tuy nhiên, không phải ai cũng sở hữu đầy đủ số lượng này. Có những người chỉ mọc 1, 2 hoặc 3 chiếc, và một số ít may mắn hơn khi hoàn toàn không có mầm răng khôn.
Răng số 8 mọc khi nào?
Khác với các răng vĩnh viễn khác hoàn thiện từ sớm, thời gian mọc răng số 8 thường rơi vào khoảng từ 17 đến 25 tuổi. Đây là giai đoạn xương hàm đã ngừng phát triển và trở nên cứng chắc, mô nướu cũng dày hơn, khiến cho quá trình răng xuyên qua nướu trở nên khó khăn và gây đau đớn nhiều hơn. Trong một số trường hợp đặc biệt, răng khôn có thể “ngủ quên” và chỉ bắt đầu trồi lên khi bạn đã ngoài 30 tuổi.
Không có răng số 8 có sao không?
Nhiều người lo lắng khi bạn bè đồng trang lứa đã mọc răng khôn còn mình thì chưa. Thực tế, việc không có răng số 8 hoàn toàn không ảnh hưởng đến chức năng ăn nhai hay thẩm mỹ. Ngược lại, những người không có mầm răng số 8 thường có cung hàm ổn định hơn, ít phải đối mặt với nguy cơ xô lệch răng hay các bệnh lý viêm nhiễm vùng sâu trong hàm. Đây được coi là một sự ưu ái của tự nhiên dành cho bạn.
Một số tình trạng mọc răng số 8 phổ biến
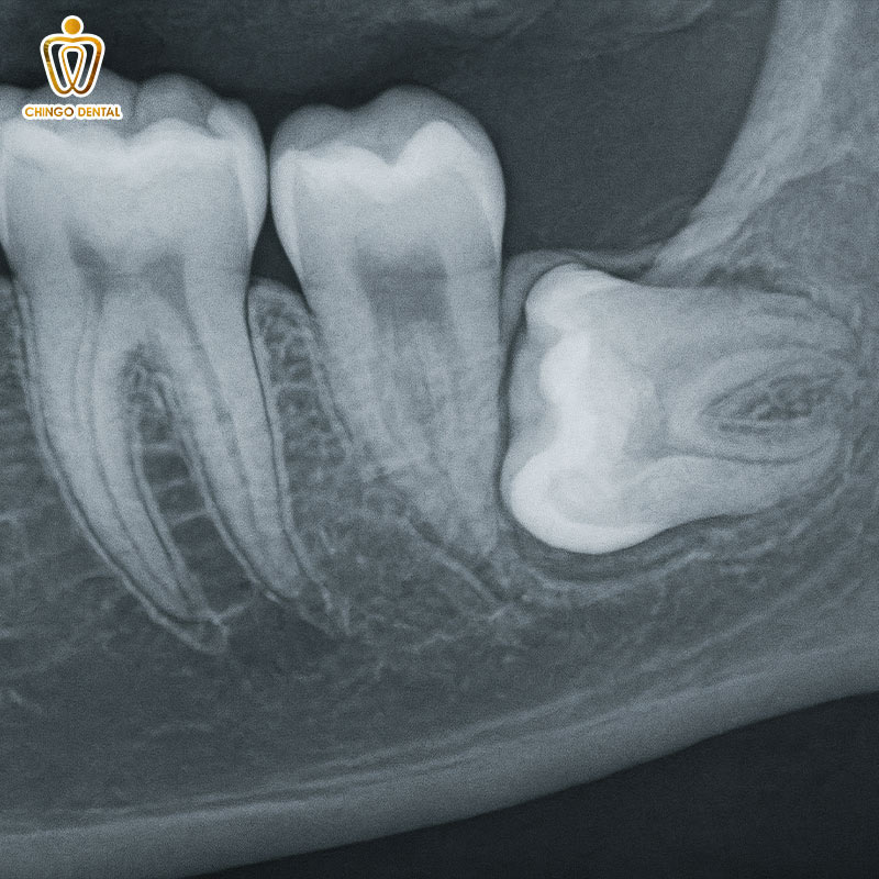
Do sự thu hẹp của xương hàm trong quá trình tiến hóa của loài người, răng số 8 hiếm khi mọc thẳng thuận lợi. Tình trạng răng số 8 mọc lệch là phổ biến nhất, khi răng đâm vào răng số 7 bên cạnh hoặc mọc chen chúc. Đặc biệt nguy hiểm là trường hợp răng số 8 mọc ngang 90 độ, đâm thẳng vào chân răng lân cận gây đau đớn dữ dội.
Ngoài ra, còn có tình trạng răng mọc ngầm hoàn toàn dưới xương hàm hoặc viêm lợi trùm răng số 8. Khi một phần nướu che phủ bề mặt răng tạo khe hở cho vi khuẩn và thức ăn tích tụ, gây nhiễm trùng kéo dài.
Răng số 8 mọc thẳng: “Vị khách” may mắn nhưng cần cảnh giác
Nhiều người lầm tưởng răng mọc thẳng là hoàn toàn vô hại. Thực tế, ngay cả khi răng số 8 mọc thẳng, nó vẫn có thể trở thành “kẻ thù” thầm lặng của sức khỏe răng miệng.
Đặc điểm nhận diện: Răng mọc đúng trục đứng, các mặt nhai khớp với răng đối diện. Tuy nhiên, do nằm quá sâu, bàn chải thông thường khó chạm tới.
Nguy cơ tiềm ẩn: Dễ gây tích tụ mảng bám, dẫn đến tình trạng răng số 8 bị sâu vỡ hoặc viêm nướu mãn tính.
Tại Chingo Dental, chúng tôi chỉ khuyên giữ lại nếu khách hàng cam kết vệ sinh bằng chỉ nha khoa và máy tăm nước chuyên dụng. Nếu không, việc có nên nhổ răng số 8 mọc thẳng vẫn được cân nhắc để bảo vệ răng số 7.
Răng số 8 mọc lệch: “Kẻ phá hoại” cấu trúc toàn hàm
Đây là tình trạng phổ biến nhất và cũng là nguyên nhân chính gây ra những cơn đau răng số 8 dữ dội. Răng số 8 mọc lệch thường được chia thành nhiều cấp độ
Mọc lệch gần (đâm vào răng số 7): Đây là trường hợp “nguy tử” nhất. Trục răng nghiêng khoảng 45 độ, tì sát vào răng số 7. Điều này không chỉ gây đau mà còn tạo hố sâu khiến răng số 7 bị tiêu xương, sâu hỏng từ phía chân răng.
Mọc lệch xa: Răng hướng về phía ngành lên xương hàm. Tình trạng này gây khó khăn khi há miệng và thường dẫn đến viêm lợi trùm răng số 8.
Mọc lệch má/lưỡi: Răng đâm ra phía má gây trầy xước niêm mạc hoặc đâm vào phía lưỡi gây khó khăn khi phát âm và ăn uống.
Răng số 8 mọc ngầm: “Bom nổ chậm” dưới nướu
Đây là tình trạng răng hoàn toàn bị bao phủ bởi xương hàm hoặc mô nướu. Không thể nhìn thấy bằng mắt thường. Khách hàng chỉ phát hiện ra khi đi chụp X-quang hoặc khi đã xảy ra biến chứng nặng.
Răng mọc ngầm trong xương: Chiếc răng nằm hoàn toàn trong xương hàm. Nếu không can thiệp, nó có thể hình thành nang thân răng, làm hỏng xương hàm xung quanh.
Răng mọc ngầm trong lợi: Răng đã thoát khỏi xương nhưng bị mô lợi dày che phủ. Đây là “ổ” chứa vi khuẩn gây nhiễm trùng tái đi tái lại.
Dấu hiệu nhận biết: Cảm giác đau âm ỉ vùng góc hàm nhưng không thấy răng nhú lên. Đôi khi gây đau lên thái dương hoặc ê buốt các răng phía trước mà không rõ nguyên nhân.
Tại sao khách hàng nên lo lắng về răng mọc lệch/ngầm?
Khi răng không mọc đúng vị trí, nó tạo ra một “vùng trũng” vi khuẩn. Tình trạng nhổ răng số 8 có ảnh hưởng gì không thường được đặt ra, nhưng sự thật là việc KHÔNG nhổ mới thực sự ảnh hưởng. Nó dẫn đến tiêu xương chân răng số 7 – chiếc răng ăn nhai quan trọng nhất mà không có răng nào thay thế được.
Nên làm gì khi mọc răng số 8?
Khi bắt đầu cảm thấy những cơn đau đầu tiên ở vùng cuối hàm, điều quan trọng nhất là bạn cần bình tĩnh và tìm đến sự thăm khám chuyên khoa. Tuyệt đối không tự ý mua thuốc giảm đau hoặc áp dụng các mẹo dân gian chưa kiểm chứng tại nhà. Việc chụp phim X-quang tại nha khoa uy tín sẽ giúp bác sĩ xác định chính xác hướng mọc của răng, từ đó đưa ra lời khuyên về việc nên theo dõi hay can thiệp sớm để tránh ảnh hưởng đến hệ thống răng toàn hàm.
Có nên nhổ bỏ răng số 8?
Câu hỏi có nên nhổ răng số 8 luôn là nỗi băn khoăn lớn nhất của khách hàng. Về bản chất, răng số 8 không đóng góp nhiều vào chức năng nghiền nát thức ăn nhưng lại tiềm ẩn quá nhiều rủi ro.
Các chuyên gia nha khoa tại Đà Nẵng thường khuyến nghị nhổ bỏ nếu răng gây đau, gây biến chứng viêm nhiễm hoặc đe dọa làm hỏng răng số 7. Nếu bạn đang tự hỏi có nên nhổ răng số 8 không, hãy cân nhắc giữa lợi ích bảo vệ các răng quan trọng khác và việc giữ lại một chiếc răng khó vệ sinh, dễ gây sâu hỏng.
Răng số 8 tác động như thế nào đến sức khỏe
Sự hiện diện của một chiếc răng khôn mọc lỗi không chỉ gây đau tại chỗ mà còn ảnh hưởng đến sức khỏe toàn thân. Những cơn đau răng kéo dài gây mất ngủ, sụt cân và mệt mỏi.
Biến chứng nghiêm trọng nhất là viêm quanh thân răng có thể dẫn đến nhiễm trùng máu hoặc viêm xương hàm nếu không được xử lý kịp thời. Hơn nữa, áp lực từ răng khôn có thể làm xô lệch toàn bộ hàng răng cửa phía trước, làm mất đi thành quả chỉnh nha (nếu có) và làm thay đổi cấu trúc khuôn mặt.
Răng số 6, 7, 8 có thay không
Nhiều người vẫn còn băn khoăn về việc răng số 6, 7, 8 có thay không. Câu trả lời là KHÔNG. Đây là các răng hàm lớn vĩnh viễn, chỉ mọc một lần duy nhất. Do đó, việc bảo vệ răng số 6 và 7 là cực kỳ quan trọng. Và nhổ răng số 8 chính là một cách để bảo vệ “người hàng xóm” quan trọng này.
Nhổ răng số 8 có nguy hiểm không
Tâm lý sợ hãi là điều dễ hiểu, đặc biệt là khi nghe về các dây thần kinh nằm gần chân răng. Tuy nhiên, với công nghệ nha khoa hiện đại ngày nay, việc nhổ răng số 8 có nguy hiểm không phụ thuộc rất lớn vào trình độ tay nghề bác sĩ và trang thiết bị hỗ trợ.
Tại các phòng khám chuyên nghiệp, quy trình này được kiểm soát nghiêm ngặt. Từ khâu xét nghiệm máu đến chẩn đoán bằng hình ảnh 3D. Giúp loại bỏ hoàn toàn các rủi ro về thần kinh hay chảy máu không kiểm soát.
Riêng với trường hợp nhổ răng số 8 hàm dưới có nguy hiểm không. Câu trả lời là mức độ phức tạp có cao hơn một chút so với hàm trên do mật độ xương dày. Nhưng vẫn nằm trong tầm kiểm soát tuyệt đối của bác sĩ giàu kinh nghiệm.
Răng số 8 mọc thẳng có nên nhổ không? Trường hợp mọc thẳng có thể giữ lại
Nhiều người mặc định răng số 8 cứ mọc là phải nhổ. Tuy nhiên, nếu chiếc răng này mọc thẳng, không bị lợi trùm, có răng đối diện khớp nhau để tham gia ăn nhai và bạn có thể vệ sinh sạch sẽ bằng bàn chải hoặc chỉ nha khoa, thì hoàn toàn có thể giữ lại.
Các bác sĩ nha khoa Hà Nội sẽ chỉ định giữ răng trong trường hợp nó không gây bất kỳ biến chứng nào và không ảnh hưởng đến răng số 7. Nhưng thực tế, số lượng người có thể giữ lại răng số 8 mọc thẳng mà không gặp vấn đề gì sau đó là khá ít.
Những lưu ý trước khi nhổ răng số 8
Để quá trình tiểu phẫu diễn ra thuận lợi, bạn cần có sự chuẩn bị kỹ lưỡng về cả tâm lý và sức khỏe. Hãy đảm bảo mình không trong giai đoạn kinh nguyệt đối với phụ nữ. Không mắc các bệnh cấp tính như cảm cúm hay viêm họng.
Bạn cần thông báo trung thực với bác sĩ về tiền sử bệnh lý (tim mạch, tiểu đường, huyết áp) và các loại thuốc đang sử dụng. Một bữa ăn nhẹ trước khi nhổ (nhưng không quá no) và tinh thần thoải mái sẽ giúp cơ thể đáp ứng tốt hơn với thuốc tê.
Phương pháp nhổ răng khôn hiện nay
Ngày nay, việc nhổ răng không còn là “công cuộc đục đẽo” thô sơ. Hai phương pháp chính đang được áp dụng là nhổ bằng kìm/bẩy truyền thống. Và nhổ bằng công nghệ sóng siêu âm Piezotome.
Bước đột phá từ công nghệ Piezotome: Giải pháp “không đau” cho răng số 8 mọc ngầm
Đối với những ca răng số 8 mọc ngầm hay nằm sát dây thần kinh, nỗi lo lớn nhất của khách hàng chính là sự xâm lấn sâu và cảm giác đau nhức kéo dài. Tại Chin Gô Dental, việc ứng dụng công nghệ sóng siêu âm Piezotome đã thay đổi hoàn toàn cục diện của các ca tiểu phẫu này.
Thay vì sử dụng lực cơ học từ kìm hay bẩy truyền thống. Piezotome sử dụng các bước sóng siêu âm có tần số biến thiên linh hoạt để bóc tách mô mềm và làm lung lay chân răng một cách nhẹ nhàng. Điểm ưu việt nhất chính là tính chọn lọc mô: sóng siêu âm chỉ tác động lên các mô cứng (xương, răng) và hoàn toàn “tàng hình” trước các mạch máu hay dây thần kinh.
Điều này không chỉ giúp trả lời thỏa đáng câu hỏi nhổ răng số 8 có đau không. Mà còn giảm thiểu tối đa tình trạng sưng nề, chảy máu, giúp vết thương lành nhanh gấp 3 lần bình thường. Đây chính là chìa khóa để xử lý triệt để những chiếc răng khôn “cứng đầu” nhất mà vẫn đảm bảo trải nghiệm êm ái, an toàn tuyệt đối cho mọi khách hàng.
Piezotome và nhổ răng truyền thống: Khoảng cách giữa tiểu phẫu êm ái và cơn đau kéo dài”
| Tiêu chí |
Nhổ răng truyền thống (Kìm & Bẩy) |
Công nghệ Piezotome (Sóng siêu âm) |
| Cảm giác thực hiện | Có lực rung, áp lực mạnh gây lo lắng. | Êm ái, nhẹ nhàng, chỉ có cảm giác rung nhẹ. |
| Độ xâm lấn | Có thể tổn thương mô mềm xung quanh. | Tác động chọn lọc, chỉ can thiệp vào mô cứng (răng). |
| Sưng nề & Đau | Sưng và đau nhiều trong 3 – 5 ngày đầu. | Giảm sưng đau đến 80%, thoải mái ngay sau nhổ. |
| Tốc độ lành thương | Cần 7 – 10 ngày để ổn định vết thương. | Hồi phục thần tốc, liền thương chỉ sau 2 – 3 ngày. |
| Biến chứng | Nguy cơ tác động đến dây thần kinh cao hơn. | An toàn tuyệt đối, bảo vệ mạch máu và thần kinh. |
| Tổng kết giá trị | Tiết kiệm chi phí ban đầu. | Tiết kiệm thời gian, công sức và chi phí thuốc men. |
Quy trình nhổ răng số 8 mọc lệch chuẩn y khoa
Quy trình thực hiện tại Chingo Dental luôn tuân thủ các bước chuẩn y khoa:
- Thăm khám và chụp X-quang: Xác định chính xác vị trí và hướng mọc lệch của răng.
- Vệ sinh khoang miệng và gây tê: Đảm bảo môi trường vô trùng và khách hàng hoàn toàn không cảm thấy đau trong suốt quá trình.
- Tiểu phẫu: Bác sĩ sử dụng thiết bị chuyên dụng để bóc tách nướu, có thể chia nhỏ răng để đưa ra ngoài một cách dễ dàng nhất, đặc biệt cần thiết khi nhổ răng số 8 hàm trên hoặc các ca mọc ngang.
- Khâu vết thương: Sử dụng chỉ tự tiêu hoặc chỉ thường để đóng kín vết mổ.
- Hậu phẫu: Khách hàng cắn gạc cầm máu và nhận hướng dẫn chăm sóc tại nhà.
Sau khi nhổ răng khôn cần lưu ý những gì?
Giai đoạn sau tiểu phẫu đóng vai trò quyết định đến tốc độ hồi phục. Bạn cần tuân thủ tuyệt đối việc cắn gạc trong 30 – 45 phút đầu tiên để hình thành cục máu đông.
Trong 24 giờ đầu, không nên súc miệng mạnh, không khạc nhổ hoặc dùng ống hút vì áp lực có thể làm bật cục máu đông, dẫn đến tình trạng khô huyệt ổ răng. Nếu có hiện tượng sưng nề, hãy tích cực chườm lạnh ở vùng má ngoài vị trí nhổ trong ngày đầu tiên.
Sau nhổ răng khôn nên kiêng ăn gì để nhanh hồi phục?
Việc xây dựng một thực đơn “hậu phẫu” khoa học là chìa khóa vàng để vết thương nhanh đóng miệng và ngăn ngừa những biến chứng không đáng có. Vậy cụ thể nhổ răng số 8 kiêng ăn gì để bảo vệ cục máu đông quý giá tại huyệt ổ răng?
Trước hết, bạn cần tuyệt đối tránh xa các loại thực phẩm cứng, dai hoặc có độ giòn cao như sụn, các loại hạt khô và đồ chiên rán. Bởi những mảnh vụn sắc nhọn có thể đâm vào vùng lợi đang tổn thương, gây đau nhức dữ dội. Bên cạnh đó, các món ăn cay nồng hoặc quá nóng sẽ làm giãn mạch máu. Dễ khiến vết thương bị kích ứng và chảy máu lại.
Đặc biệt, bạn nên tạm thời gác lại sở thích uống trà sữa hay nước ngọt qua ống hút. Vì lực hút mạnh có thể làm bật cục máu đông, dẫn đến tình trạng khô huyệt ổ răng vô cùng đau đớn. Cuối cùng, để quá trình lành thương diễn ra suôn sẻ và không phải lo lắng về việc nhổ răng số 8 có ảnh hưởng gì không. Hãy nói “không” với rượu bia và thuốc lá trong ít nhất một tuần đầu. Nhằm đảm bảo môi trường khoang miệng luôn sạch khuẩn và ổn định nhất.
Nhổ răng số 8 giá bao nhiêu
Khi quyết định thực hiện dịch vụ, vấn đề tài chính luôn được khách hàng quan tâm hàng đầu. Thực tế, giá nhổ răng số 8 không có một mức cố định. Cho mọi trường hợp mà phụ thuộc vào độ khó của ca tiểu phẫu. Bạn hoàn toàn được hưởng quyền lợi đối với chi phí nhổ răng khôn có bảo hiểm y tế. Nhưng cần tuân theo các quy định cụ thể. BHYT chỉ chi trả cho các trường hợp được chỉ định nhổ răng vì lý do bệnh lý. Không áp dụng cho các trường hợp nhổ răng tự nguyện hoặc thẩm mỹ.
Chi phí giá nhổ răng số 8 theo trường hợp đặc biệt
Nhổ răng số 8 bao nhiêu tiền? Thông thường, chi phí dao động từ 1.000.000đ đến 5.000.000đ mỗi răng. Các yếu tố ảnh hưởng đến việc nhổ răng số 8 giá bao nhiêu bao gồm:
- Vị trí răng: hàm trên thường rẻ hơn hàm dưới)
- Hướng mọc: mọc thẳng rẻ hơn mọc lệch, mọc ngầm
- Công nghệ nhổ răng: Nhổ răng công nghệ hiện đại chi phí cao hơn so với phương pháp truyền thống, tùy vào phương pháp mà bạn lựa chọn.
Nhổ răng số 8 bị sâu giá bao nhiêu
Trường hợp đặc biệt như răng số 8 bị sâu vỡ hoặc răng số 8 bị sâu có nên nhổ không. Nếu răng đã bị sâu nặng, gây đau nhức và có nguy cơ lây lan sang răng số 7, bác sĩ luôn chỉ định nhổ bỏ sớm. Với thắc mắc nhổ răng số 8 bị sâu giá bao nhiêu hay chi phí nhổ răng số 8 bị sâu. Mức giá thường tương đương với nhổ răng mọc lệch do cấu trúc răng đã bị phá hủy. Đòi hỏi kỹ thuật gắp bỏ mảnh vỡ phức tạp hơn.
Cách chăm sóc răng miệng sau khi nhổ răng số 8
Việc vệ sinh răng miệng cần được duy trì nhưng phải hết sức nhẹ nhàng. Bạn vẫn có thể đánh răng nhưng cần tránh vùng vừa nhổ răng ra. Sau 24 giờ, có thể bắt đầu súc miệng nhẹ nhàng bằng nước muối sinh lý để sát khuẩn. Hãy chú ý theo dõi các biểu hiện lạ.
Nếu thấy đau nhức không giảm dù đã uống thuốc hoặc chảy máu kéo dài. Hãy liên hệ ngay với bác sĩ. Rất nhiều người lo lắng về vấn đề thẩm mỹ như nhổ răng số 8 có bị hóp má không. Nhưng thực tế răng khôn không đóng vai trò nâng đỡ cơ mặt. Nên việc nhổ bỏ hoàn toàn không làm hóp má hay ảnh hưởng đến nhan sắc của bạn
Kết bài
Răng số 8 có thể là một “vị khách không mời” gây ra nhiều phiền toái, nhưng nếu được xử lý đúng cách và đúng thời điểm. Nó sẽ không còn là mối đe dọa cho sức khỏe răng miệng của bạn.
Cuối cùng, đừng quá lo lắng về việc nhổ răng số 8 có ảnh hưởng gì không. Với sự hỗ trợ của thuốc tê và thiết bị hiện đại. Câu hỏi nhổ răng số 8 có đau không đã không còn là vấn đề lớn.
Những biến chứng sau khi nhổ răng số 8 như nhiễm trùng hay sưng tấy hoàn toàn có thể phòng tránh được. Nếu bạn chọn đúng cơ sở nha khoa uy tín và tuân thủ chỉ dẫn của bác sĩ.
Việc hiểu rõ từ vị trí răng số 8, dấu hiệu đến quy trình chăm sóc sau nhổ. Giúp bạn tự tin hơn trong hành trình chăm sóc nụ cười. Hãy nhớ rằng, mục tiêu cuối cùng của mọi can thiệp nha khoa đều là giúp bạn có một cuộc sống thoải mái. Không đau nhức và duy trì được hàm răng chắc khỏe dài lâu.












